Chàng trai bị bạn bè trêu chọc vì ngoại hình khác biệt, nam sinh gen Z quyết định chi 500 triệu phẫu thuật thẩm mỹ tại Bệnh viện JW. Sau hành trình phẫu thuật hàm móm, nâng mũi sụn sườn và bọc răng sứ, anh “tái sinh” với diện mạo mới khiến ai cũng bất ngờ.

Nam sinh gen Z đến Bệnh viện JW thẩm mỹ, lột xác thay đổi cuộc đời
Nam sinh gen Z bị bắt nạt vì ngoại hình
Ngay từ khi sinh ra, anh đã không may mắn như bao người khác. Dị tật sứt môi – hở hàm ếch bẩm sinh khiến khuôn mặt méo lệch, khớp hàm sai lệch và lời nói thiếu tròn vành rõ chữ. Suốt những năm tháng đi học, anh trở thành mục tiêu trêu chọc của bạn bè, bị gán cho những biệt danh cay nghiệt chỉ vì gương mặt khác thường.

Nam sinh gen Z bị dị tật sứt môi – hở hàm ếch bẩm sinh trở nên tự ti
Những tổn thương ấy khiến anh sống khép kín, ngại giao tiếp, không dám nhìn thẳng vào người đối diện. Thậm chí, anh từng nghĩ rằng sẽ chẳng bao giờ có cơ hội thay đổi – cho đến khi biết đến Bệnh viện JW, nơi nổi tiếng về các ca phẫu thuật thẩm mỹ tái tạo khuôn mặt.
Quyết định thay đổi – bước ngoặt của cuộc đời
Tình cờ biết đến JW qua một video chia sẻ ca tái phẫu thuật dị tật, anh đã tìm hiểu sâu hơn và mạnh dạn đăng ký tư vấn. Sau buổi thăm khám cùng đội ngũ bác sĩ chuyên khoa Phẫu thuật Hàm Mặt JW, anh được chẩn đoán hàm móm nặng do cấu trúc xương lệch. Nguyên nhân khiến khuôn mặt mất cân đối và khớp cắn sai lệch.

Nam sinh phẫu thuật hàm điều chỉnh khớp cắn, khuôn mặt cân đối
Để khắc phục triệt để, bác sĩ JW xây dựng phác đồ điều trị tổng thể gồm 3 giai đoạn:
- Niềng răng chỉnh khớp cắn – giúp răng và khớp hàm ổn định, tạo tiền đề cho ca phẫu thuật.
- Phẫu thuật hàm móm bằng kỹ thuật Lefort I kết hợp BSSO – chỉnh toàn bộ cấu trúc xương mặt, cân đối khớp cắn, hài hòa hai bên khuôn mặt
- Bọc răng sứ và nâng mũi sụn sườn – hoàn thiện thẩm mỹ gương mặt, mang lại nụ cười tự tin.
Tổng chi phí cho toàn bộ quá trình điều trị gần 500 triệu đồng, nhưng với anh đó là khoản đầu tư xứng đáng cho một cuộc đời mới.
Ca phẫu thuật hàm móm phức tạp – thành công ngoài mong đợi
Theo chia sẻ từ ekip bác sĩ JW, ca phẫu thuật hàm móm của anh thuộc dạng khó, bởi cấu trúc xương hàm dưới phát triển quá mức trong khi xương hàm trên lại tụt sâu. Quá trình phẫu thuật kéo dài hơn 6 giờ đồng hồ, yêu cầu độ chính xác cao trong từng thao tác cắt xương, cố định khớp cắn và tái tạo tỷ lệ khuôn mặt.

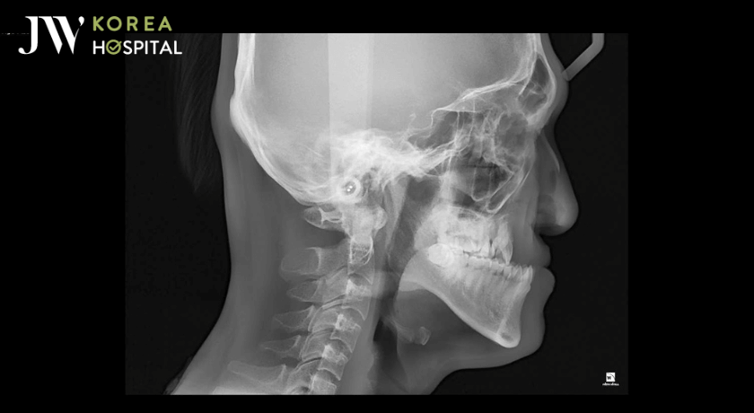
Hình chụp chẩn đoán mức độ lệch hàm trước khi phẫu thuật

Quá trình hồi phục sau khi phẫu thuật hàm tại Bệnh viện JW
Sau phẫu thuật, khuôn mặt anh thay đổi rõ rệt: phần cằm được đẩy về đúng vị trí, xương gò má cân đối, nụ cười tự nhiên hơn. Điều đặc biệt là giọng nói anh cũng trở nên rõ ràng, dễ nghe một kết quả mà chính anh chưa từng dám kỳ vọng.
“Nhìn thấy khuôn mặt mình trong gương, tôi đã bật khóc. Tôi chưa bao giờ nghĩ có ngày được cười mà không cần che miệng.” – anh chia sẻ.

Hình chụp quá trình niềng răng trước khi phẫu thuật hàm

Nam sinh kết hợp Niềng răng – Phẫu thuật Hàm để có gương mặt hoàn hảo
Bọc răng sứ và Nâng mũi sụn sườn – Hoàn toàn tự tin với diện mạo mới
Sau khi phục hồi sau phẫu thuật hàm, anh tiếp tục bọc răng sứ thẩm mỹ để hoàn thiện nụ cười. Từng chiếc răng được thiết kế theo tỷ lệ vàng phù hợp với khuôn mặt mới, mang lại sự cân đối và tự nhiên tuyệt đối.

Bọc răng sứ và Nâng mũi sụn sườn mang lại gương mặt cân đối
Bước cuối cùng, anh lựa chọn nâng mũi sụn sườn S-Line. Phương pháp được JW ứng dụng phổ biến trong các ca chỉnh hình phức tạp. Sụn sườn tự thân giúp tái tạo dáng mũi cao, mềm mại và an toàn tuyệt đối, đồng thời khắc phục tình trạng lệch mũi do dị tật bẩm sinh trước đây.
Kết quả, khuôn mặt anh trở nên hài hòa, thanh thoát và đầy sức sống. Không chỉ thay đổi ngoại hình, mà cả khí chất và sự tự tin cũng “lột xác” hoàn toàn.
Chia sẻ cảm xúc về hành trình lột sát tại JW

Nam sinh hoàn toàn tự tin với ngoại hình sau khi thẩm mỹ toàn diện khuôn mặt
Từ một chàng trai sống thu mình, anh trở thành người truyền cảm hứng cho nhiều bạn trẻ từng mặc cảm vì ngoại hình.
Anh chia sẻ: “Phẫu thuật thẩm mỹ không phải để chạy theo cái đẹp, mà để tôi có cơ hội sống đúng nghĩa – được cười, được nói, được tự tin như bao người khác.”
Sau gần 3 năm điều trị toàn diện tại Bệnh viện JW, anh đã có một cuộc đời mới – nơi không còn sự e dè, không còn những lời trêu chọc, mà chỉ có ánh mắt tự tin và nụ cười tràn đầy hy vọng.
Bệnh viện JW hiện thực ước mơ “thay đổi vận mệnh”
Không chỉ là địa chỉ uy tín trong lĩnh vực phẫu thuật thẩm mỹ, Bệnh viện JW Hàn Quốc còn được biết đến là chuyên điều trị dị tật hàm mặt bẩm sinh, với đội ngũ bác sĩ được đào tạo tại Hàn Quốc và hệ thống trang thiết bị đạt chuẩn quốc tế.
Mỗi năm, hàng trăm ca phẫu thuật hàm móm, hô, lệch mặt, dị tật bẩm sinh được JW thực hiện thành công – giúp người bệnh lấy lại hình dáng khuôn mặt, cải thiện chức năng ăn nhai và phát âm, đồng thời mở ra cánh cửa mới cho cuộc sống.
Kết luận
Hành trình chi 500 triệu để “tái sinh” của chàng trai gen Z không chỉ là câu chuyện của một ca phẫu thuật thẩm mỹ thành công, mà còn là minh chứng cho sức mạnh của nghị lực và y học hiện đại.
Từ nỗi mặc cảm anh đã dũng cảm đứng lên, biến nỗi đau thành động lực để thay đổi chính mình – và giờ đây, anh sống trọn vẹn với nụ cười rạng rỡ, là minh chứng cho thông điệp mà JW luôn hướng đến: “Phẫu thuật thẩm mỹ không chỉ thay đổi diện mạo – mà là hành trình thay đổi cuộc đời.”